
Υπερηχογράφημα Αμυγδαλών
2016-03-15
FNA Συχνές Ερωτήσεις
2018-08-27Το υπερηχογράφημα ισχίων νεογνών και βρεφών

Η αξία του υπερηχογραφήματος ισχίων στα νεογνά και στα βρέφη
Το υπερηχογράφημα των ισχίων στη νεογνική και βρεφική ηλικία χρησιμοποιείται για την έγκαιρη διάγνωση στο Συγγενές Εξάρθρημα του Ισχίου ή πιο ορθά στην Αναπτυξιακή δυσπλασία του ισχίου (ΑΝΙ)-Developmental Disease of the Hip (DDH)
Αναπτυξιακή δυσπλασία του ισχίου των νεογνών
Πιο συγκεκριμένα με τον όρο αναπτυξιακή δυσπλασία του ισχίου (ΑΝΙ) περιλαμβάνεται ένα φάσμα ανωμαλιών του ισχίου που εμφανίζονται στη γέννηση ή αναπτύσσονται αργότερα κατά τη βρεφική ηλικία.
Η συχνότητα της ΑΝΙ υπολογίζεται στην Ελλάδα σε 1,5/1000 νεογνά. Η αιτιολογία είναι άγνωστη. Ως επιβαρυντικοί παράγοντες ενοχοποιούνται το θετικό οικογενειακό ιστορικό, η ισχιακή προβολή ,το ολιγοϋδράμνιο, οι δυσμορφίες άκρου ποδός.
Τα τελευταία χρόνια όλο και περισσότερο η επιστημονική κοινότητα εφιστά την προσοχή στο φάσκιωμα. Φαίνεται ότι το φάσκιωμα είναι επιβαρυντικός παράγοντας για καθυστερημένη ανάπτυξη ΑΝΙ ιδίως στις περιπτώσεις που δεν είναι δυνατή η ελεύθερη κινητικότητα των ποδιών (σφικτό φάσκιωμα).
Ο Καθηγητής R.Graf στο σεμινάριο του, που είχα την τύχη να παρακολουθήσω, προκειμένου να εξηγήσει τη μέθοδο διάγνωσης της ΑΝΙ με το υπερηχογράφημα δείχνει τα 3 παρακάτω slides με το ερώτημα στο ακροατήριο:
Ποιο από τα 3 βρέφη δεν διατρέχει κίνδυνο για καθυστερημένη (όψιμη) ανάπτυξη ΑΝΙ;



Η σωστή απάντηση είναι: Μόνο το βρέφος στο 3ο slide δεν διατρέχει κανένα κίνδυνο ανάπτυξης ΑΝΙ λόγω της μη παρέμβασης στη φυσιολογική κινητικότητα της άρθρωσης των ισχίων ,γεγονός που αποδέχεται ομόφωνα η παγκόσμια επιστημονική κοινότητα.
Κλινική εξέταση ισχίων νεογνών και βρεφών
Κατά την κλινική εξέταση των ισχίων παθολογικά ευρήματα που θέτουν υποψία για ΑΝΙ είναι:
- η ασυμμετρία των δερματικών πτυχών στην περιοχή του μηρού
- η ανισοσκελία, οι παθολογικές δοκιμασίες πρόκλησης
- ή ανάταξης εξαρθρήματος (δοκιμασία Barlow και Ortolani)
Ο μεγάλος όμως αριθμός των ψευδώς αρνητικών διαγνώσεων κατά την κλινική εξέταση σε συνδυασμό με τις συχνές υποκλινικές περιπτώσεις ΑΝΙ έκαναν επιτακτική την ανάγκη εύρεσης μιας διαγνωστικής μεθόδου τόσο για αξιόπιστη διάγνωση της ΑΝΙ όσο και για την έγκαιρη έναρξη τυχόν θεραπείας (συντηρητικής ή χειρουργικής) ώστε να αποφεύγονται καταστάσεις όπως οστεοαρθρίτιδα, μόνιμη χωλότητα και να επιτυγχάνεται καλύτερη έκβαση της θεραπείας.
Διαγνωστικές Μέθοδοι εξέτασης των ισχίων νεογνών και βρεφών
Παλαιότερα η μόνη απεικονιστική μέθοδος εξέτασης των ισχίων ήταν η απλή ακτινογραφία λεκάνης-ισχίων η οποία αφενός έχει ακτινοβολία και αφετέρου είναι διαγνωστική μετά την ηλικία των 4 μηνών (μετά την εμφάνιση των πυρήνων οστέωσης των μηριαίων κεφαλών).
Σήμερα το υπερηχογράφημα θεωρείται η εξέταση εκλογής για πιθανή ΑΝΙ. καθώς μπορεί να γίνει από τη νεογνική ηλικία, δεν έχει ακτινοβολία και επιτρέπει την δυναμική εξέταση για την εκτίμηση της σταθερότητας της άρθρωσης του ισχίου
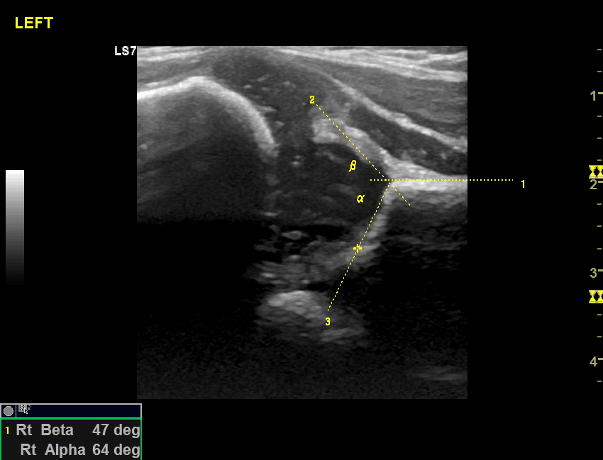
Πολλές μέθοδοι υπερηχογραφικής εξέτασης των ισχίων έχουν προταθεί τα τελευταία 25 χρόνια: μέθοδος Graf, Harcke, Terjesen, Morin, Suzuki κ.αλ.
To 1992 H Rosendahl πρότεινε το συνδυασμό των 2 επικρατέστερων μεθόδων ( μέθοδος Graf και μέθοδος Harcke )τη γνωστή σήμερα μέθοδο Rosendahl ή αλλιώς τροποποιημένη μέθοδος Graf( (modified -Graf method) η οποία από το 2011 με βάση τις κατευθυντήριες οδηγίες της Ευρωπαϊκής Παιδοακτινολογικής Εταιρίας (ESPR) είναι η προτεινόμενη μέθοδος εξέτασης. Η Rosendahl και ο Graf είναι πολύ αυστηροί στην μεθοδολογία της εξέτασης και ιδιαίτερα στη σωστή λήψη των υπερηχογραφικών εικόνων ώστε να αποφευχθούν τυχόν λάθη. Η μέτρηση των γωνιών κατά Graf προϋποθέτει να περιλαμβάνονται στην εικόνα όλα τα ανατομικά στοιχεία της άρθρωσης και οι 3 γραμμές να διέρχονται με ακρίβεια από τα σωστά σημεία.
Έτσι μόνο στην τέλεια άρθρωση οι 3 γραμμές εφάπτονται στο ίδιο σημείο, εύρημα όχι συχνό και όχι υποχρεωτικά αναμενόμενο στη φυσιολογική άρθρωση !! Αντίστοιχα η δυναμική εξέταση χρήζει ιδιαίτερης προσοχής για να αποφευχθούν τυχόν λάθη και να μην «ταλαιπωρείται» το βρέφος με συχνές –άσκοπες επαναλήψεις.
Πότε είναι η καλύτερη ηλικία για να εξεταστεί ένα παιδί και μέχρι ποια ηλικία είναι δυνατή η εξέταση;
Ο ίδιος ο Graf απαντά ότι καλύτερη ηλικία εξέτασης είναι 4-6 εβδομάδες της ζωής χωρίς να απαγορεύεται και νωρίτερα ειδικά στις περιπτώσεις που υπάρχει κλινική ένδειξη ή οικογενειακό ιστορικό ενώ ανώτερο όριο ηλικίας για την εξέταση δεν ορίζεται από τον ίδιο αρκεί να είναι διακριτά τα ανατομικά στοιχεία της άρθρωσης και να επιτρέπουν την αξιόπιστη μέτρησης των γωνιών. Προφανώς όσο μεγαλώνει το παιδί τόσο μειώνεται η ικανότητα της μεθόδου εξέτασης και κατά συνέπεια η πιθανότητα συντηρητικής παρέμβασης σε παθολογικό ισχίο.
Τέλος, αξίζει να επισημανθεί η σημαντική μείωση των χειρουργικών επεμβάσεων για διόρθωση των παθολογικών ισχίων στην Αυστρία και στην Γερμανία καθώς και η σημαντική μείωση των αριθμού περιστατικών με όψιμη ΑΝΙ (εμφάνιση ΑΝΙ μετά τον 1ο μήνα ζωής) από το 1992 και 1996 αντίστοιχα μέχρι σήμερα που στις χώρες αυτές έχει εφαρμοσθεί υποχρεωτικά η προληπτική υπερηχογραφική εξέταση των ισχίων σε όλα τα παιδιά. Η παρατήρηση αυτή αναδεικνύει την αξία της υπερηχογραφικής εξέτασης των ισχίων και οδήγησε τα τελευταία χρόνια και άλλα κράτη (Ολλανδία, Πολωνία, Νορβηγία) στον υποχρεωτικό προληπτικό έλεγχο όλων των νεογνών με τη μέθοδο αυτή.
Συμπέρασμα
Σήμερα, το υπερηχογράφημα ισχίων θεωρείται η εξέταση εκλογής για την πρώιμη διάγνωση της ΑΝΙ και για την έγκαιρη έναρξη της κατάλληλης θεραπευτικής αγωγής τόσο από τους Παιδοακτινολόγους όσο και από τους Παιδοορθοπαιδικούς. Ως μέθοδος εξέτασης προτείνεται από την Ευρωπαϊκή Παιδοακτινολογική Εταιρία (ESPR) η τροποποιημένη μέθοδος Graf η οποία απαιτεί κατάλληλη εκπαίδευση και ιδιαίτερη προσοχή στη διεξαγωγή της.
Φαίνεται ότι στο άμεσο μέλλον σε όλα τα Ευρωπαϊκά κράτη θα είναι υποχρεωτική η προληπτική υπερηχογραφική εξέταση των ισχίων σε όλα τα νεογνά . Άλλωστε όπως ο ίδιος ο Graf επισημαίνει:
Καλύτερα ένα υπερηχογράφημα ισχίων τώρα στη νεογνική ηλικία παρά ένα παιδί με χωλότητα σε μεγαλύτερη ηλικία!


